Uncover perfection with a Smile Makeover in Tarporley
Whiten, straighten and refine your smile with a flexible Smile Makeover treatment plan. Choose from a range of cosmetic dentistry options.
- Whiten, straighten and refine your smile
- Look and feel younger
- Minimally invasive treatments
- Flexible to your budget and needs
- Boost your confidence
- Perfect treatment for a special day
Book your free consultation
What is a Smile Makeover?
A Smile Makeover is not a single treatment, but rather a selection of treatments that work hand-in-hand to deliver incredible results. This allows complete flexibility, allowing individuals to pick the treatments that will deliver the best results within their budget and time constraints. A Smile Makeover commonly includes teeth whitening, orthodontic aligners and composite bonding.
Benefits of a Smile Makeover
- Flexible treatment options
- Designed to fit your budget
- Spread the cost of treatment
- Transform your smile fast
- Boost your confidence
- Look and feel younger
Begin your smile makeover journey
The first step to a stunning new smile is to book an appointment with our cosmetic dentistry team. Get in touch today to learn more about this innovative treatment option.

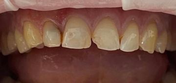
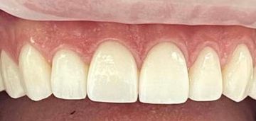
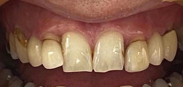
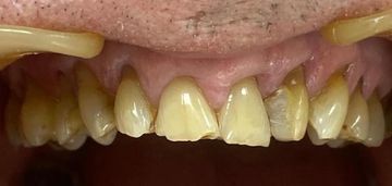
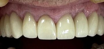
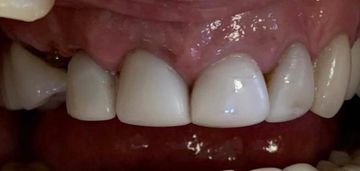
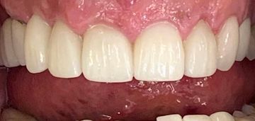
Success stories from the smile gallery
See the results for yourself. These patients achieved incredible smile transformations with the help of a Smile Makeover.

Your patient journey
Unhappy with your smile?
It’s common to feel self-conscious about the colour, alignment or general appearance of your teeth. If you find that you can’t smile with confidence, there may be simple steps you can take to refine and improve your smile. A Smile Makeover will help you to achieve incredible transformations in as little as one visit.
How does a Smile Makeover work?
A Smile Makeover could include teeth whitening, orthodontic aligners and composite bonding. We start with your aesthetic concerns and build a treatment plan that will deliver the best results within your budget and time constraints. Teeth whitening helps to address the shade of your teeth, while orthodontics can fix the alignment. Finally, composite bonding may be used to conceal chips, cracks, small gaps, thinning enamel and uneven teeth.
What can a Smile Makeover fix?
A Smile Makeover can address a number of aesthetic concerns, including yellowing, stains, chips, gaps, misaligned teeth and uneven smiles. A Smile Makeover can help you to smile with confidence and create the perfect “Hollywood” smile that so many people want. To be a suitable candidate for a Smile Makeover, you will need to have good oral health and be free from gum disease and cavities. We can help you get your oral health back on track before treatment.
What is the alternative to a Smile Makeover?
It is unlikely that you would be unsuitable for a Smile Makeover, as it is a versatile treatment option. If you are missing multiple teeth, we might recommend a bridge or veneer rather than a Smile Makeover. In some cases, we might recommend seeking treatment for gum disease before going forward with cosmetic treatment.
Your questions — answered
This all depends on your preferences and what you would like to achieve. It could include orthodontics to straighten your smile, teeth whitening to brighten your smile and composite bonding to address minor imperfections. We can also use dental implants to replace one or more missing teeth.
A smile makeover is a cost-effective way to transform your smile using the latest innovative treatments. You can boost your confidence and achieve the smile you've always dreamed of. A smile makeover is also very flexible, so you'll only have to pay for the treatments you want.
Absolutely! We work with the latest innovative techniques to design smiles that look beautiful and function perfectly. This approach to cosmetic dentistry ensures that all smile makeovers look as close to natural teeth as possible.
The best way to find out if your smile imperfections could be addressed with a smile makeover is to book a consultation with our team. We can explore the treatment options and find a solution that works for you.
The ideal candidate for a smile makeover is someone with good overall oral health and cosmetic imperfections they would like to improve. If you're unhappy with your smile and want to change it, this could be the ideal treatment journey for you.
Not at all. You can start your smile makeover at any age, provided you have good oral health. During your consultation, we will advise you on the treatments that will be best for you.
Meet our friendly dental team
If you choose to undergo treatment with us, we’ll be here to make every visit as stress-free and enjoyable as possible. We start with an initial consultation to learn more about your aesthetic goals. From there, we’ll work with you to design a treatment plan that works for you. Our friendly support staff and knowledgeable team will be here every step of the way to ensure you can make the most of your Smile Makeover experience.

Dr Hardeep Bratch
Principal Dentist | GDC No. GDC 79887
BDS Bham 2001 MFGDP Royal College Of Surgeons

Dr Hardeep Bratch
Principal Dentist | GDC No.GDC 79887
BDS Bham 2001 MFGDP Royal College Of Surgeons
Hardeep qualified as a Dental Surgeon in 2001 from the University of Birmingham. He is a cosmetic dentist with special interests in Implant Dentistry, Cosmetic Dentistry, Orthodontics and Facial Aesthetics. He has also trained and taught undergraduate dentists as a Vocational Trainer for 5 years and is a Member of the faculty of Royal College of Surgeons and Association of Dental Implantology. Outside of dentistry he enjoys gym, cycling and spending time with his wife and 2 children.
The cost of a Smile Makeover
A Smile Makeover is a flexible treatment option that could include any of the following treatments. The final cost of your Smile Makeover will all depend on the treatments you choose.
| Treatment | Prices from |
|---|---|
| Single Tooth Replacement | From £2,600 |
| Invisalign | From £3,300 |
| Porcelain Veneers | From £650 |
| Composite Veneers | From £500 |
| Composite Bonding | From £220 |
| Enlighten Teeth Whitening | £600 |
| White Dental Beauty | £500 |
How can we help you today?
Spread your payments from 0% interest
Book your dental consultation today!
Our experienced dentists are ably supported by our dedicated team of nurses and receptionists most of whom have been at the practice for many years. They are all experienced in making patients feel welcome and at ease and are capable of dealing with any queries or concerns.

















