Porcelain veneers in Tarporley a brighter and more even smile!
Transform your smile in just two visits with stunning porcelain veneers to straighten and whiten your teeth.
- Straighten your teeth
- Whiten and brighten your smile
- Look and feel younger
- Fast treatment times
- Resistant to staining
- Hide chips, cracks, thin enamel
Book your free consultation
Why choose Veneers?
Porcelain veneers offer a fast and effective solution to smile imperfections. You can achieve a stunning Hollywood smile makeover in just two visits. Veneers are thin shells of porcelain that fit over existing teeth. This allows your dentist to design your perfect smile that is straighter, brighter and whiter than ever before. Porcelain veneers are also more resistant to staining, so your smile will stay cosmetically beautiful for longer.

Composite Bonding
Make small changes to your smile with this innovative treatment that can be completed in just one visit.
Take me there
Smile Makeover
Whiten, straighten and refine your smile with a flexible Smile Makeover treatment plan. Choose from a range of cosmetic dentistry options.
Take me thereVeneers Explained
The veneer treatment journey
The veneer treatment journey can be completed in just two visits. During the first visit, your dentist will take impressions that are used to create your veneer. When you return to the practice, the underlying teeth are prepared and the veneer is attached to your teeth using dental cement. You’ll be ready to smile with confidence again from the moment you leave the practice.
What can veneers fix?
Veneers are suitable for fixing a wide range of cosmetic imperfections, including crooked or misaligned teeth, chips, cracks, uneven teeth, thinning enamel and discolouration. If you have stained or discoloured teeth that cannot be corrected with teeth whitening, a veneer could be a suitable alternative. A veneer is a permanent restoration, but it may need to be replaced or repaired at some point. With the right care, a veneer could last for 10-15 years.
Benefits of veneers
- Completed in just two visits
- Achieve whiter and brighter teeth
- Conceals chips, cracks and gaps
- Smile with confidence again
- Look and feel younger
Meet your treatment expert

Dr Hardeep Bratch
Principal Dentist | GDC No. GDC 79887
BDS Bham 2001 MFGDP Royal College Of Surgeons
Hardeep qualified as a Dental Surgeon in 2001 from the University of Birmingham. He is a cosmetic dentist with special interests in Implant Dentistry, Cosmetic Dentistry, Orthodontics and Facial Aesthetics. He has also trained and taught undergraduate dentists as a Vocational Trainer for 5 years and is a Member of the faculty of Royal College of Surgeons and Association of Dental Implantology. Outside of dentistry he enjoys gym, cycling and spending time with his wife and 2 children.
Porcelain Veneers Start From £650
A stunning smile transformation is just one click away. Get in touch with our team today to make an appointment. You’ll have the opportunity to explore treatment options to upgrade and transform your smile.

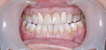
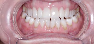
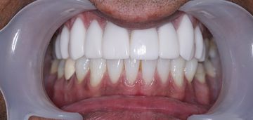
Success stories from the smile gallery
See how previous patients have transformed their smiles using porcelain veneers.

Your treatment journey
Frequently asked questions
No, veneers should not ruin your teeth. However, the underlying teeth will need to be prepared in order to allow for the veneer to be placed. This means that you will always have to wear a veneer or choose another form of restoration.
Veneers will typically last between 5-10 years and will need to be replaced eventually due to wear and tear. With good care, they could last longer than 10 years, but there is always the risk that you could crack or chip the veneer.
Some foods will be off-limits when you wear a veneer. Veneers require special care, so you will need to be mindful about what you are eating. Some foods will be off-limits when you wear a veneer such as crusty bread, ice and some hard vegetables.
Yes, you care for veneers just as you would your natural teeth. The best way to keep your teeth healthy is to brush them twice a day. Twice a day brushing will prevent the buildup of plaque and bacteria that may lead to cavities and other serious dental health issues. Even though the veneer cannot be damaged by bacteria, there is still a risk the underlying tooth structure could be damaged, or the surrounding gums.
No, the procedure for placing veneers is not painful. This is one of the least invasive cosmetic dentistry procedures. This procedure is quick and can be completed in just two visits to the office.
This all depends on your aesthetic goals. There are two primary things you need to consider when answering this question: your time constraints and your budget. If you do not want to wait for perfectly straight teeth, then a veneer will offer a faster solution. It is also less expensive than orthodontics, as it can be completed in just a few visits.
Understanding the cost of veneers
Veneers offer excellent value for money when you consider the long-term benefits of the procedure. To help you better understand the costs of veneers, we have included representative examples below.
| Treatment | Prices from |
|---|---|
| Composite Bonding | From £220 |
| Porcelain Veneers | From £700 |
| Composite Veneers | From £450 |
Book your dental consultation today!
Our experienced dentists are ably supported by our dedicated team of nurses and receptionists most of whom have been at the practice for many years. They are all experienced in making patients feel welcome and at ease and are capable of dealing with any queries or concerns.



