Composite Bonding in Tarporley, Cheshire
Upgrade your smile with composite bonding in Tarporley, Cheshire
Book your dental consultation today!
- Boost your confidence
- Fix minor imperfections
- Straighten and refine teeth
- Make teeth appear whiter
- Completed in just one visit
- Ideal for chips, cracks and gaps
Composite bonding is a modern cosmetic dentistry procedure that can be completed in just one visit. It offers an opportunity to fix small imperfections with your smile without relying on procedures such as teeth whitening, orthodontics or veneers. A composite resin is applied directly to the tooth and then shaped before it is set with a light. Once hardened, the resin looks just like natural tooth material.
Composite bonding is commonly used to address minor imperfections with the smile, including chips, cracks, small gaps, crooked or rotated teeth, discolouration and thinning enamel. It is also commonly used at the end of orthodontic treatment to help refine the shape of the teeth to create balance and harmony with the smile. If you have been told you are not a candidate for teeth whitening because of discolouration caused by trauma, composite bonding offers an alternative treatment option.
Perhaps the biggest advantage of composite bonding is that it can be completed in just one visit. This makes it a popular choice for those looking for quick and cost-effective results. Composite bonding takes less time and is less expensive than treatments such as orthodontics and veneers. The results will typically last around 5-7 years, after which you would need to consider repeating the treatment or choosing a more permanent restoration.
What is Composite Bonding?
Bonding is the process of applying and moulding dental composite to shape teeth to give a more perfect appearance.
Book your dental consultation today!
Save over £1,000 on your Invisalign journey
FREE Smile consultation, FREE retainers and FREE whitening.

Composite Bonding from £200
A beautiful smile transformation is more accessible than ever before. Book an appointment with our team to learn more about how composite bonding could help to boost your confidence.

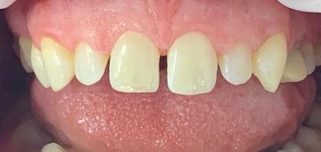
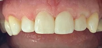
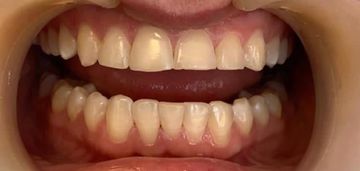
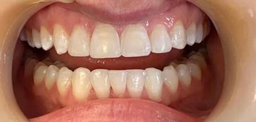
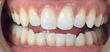
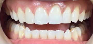
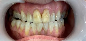
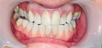
Success stories from the smile gallery
See how individuals have transformed their smiles with subtle enhancements using composite bonding.

Your treatment journey
Frequently asked questions
With the right care and attention, your composite bonding restoration could last up to 5 years. The material isn’t as hard as a natural tooth, so it may wear down, break or chip over time. This is to be expected and can be repaired or replaced with an alternative restoration such as veneers.
No, you shouldn’t have any discomfort during the procedure. The underlying tooth structure does not need to be prepared, so it is a minimally invasive procedure that can be completed without any local anaesthetic. After the procedure, your teeth may be temporarily more sensitive to hot and cold.
No, the composite material will not respond to teeth whitening substances. If you would like to whiten your teeth, we recommend starting this treatment before composite bonding so that we can match the composite material to the desired shade.
No, the underlying tooth structure does not need to be prepared in order to complete the restoration. This means that the composite resin will not ruin your teeth. If you have thinning enamel, composite bonding could even help to protect your teeth.
Yes, composite bonding is a cheaper alternative to veneers. However, it’s worth noting that composite bonding will not last as long as veneers, so you need to consider the lifetime value of the restoration.
Composite bonding can help to fix many small problems with your smile, including chips, cracks, gaps, crooked teeth, rotations, uneven edges, thinning enamel and discolouration.
Understanding the cost of composite bonding
Composite bonding is a cost-effective treatment choice for those on a budget and those looking for fast results. To help you to understand how much this treatment might cost, we have included representative examples below. The final cost will be determined by the number of areas to be fixed.
| Treatment | Prices from |
|---|---|
| Composite Bonding | From £220 |
Spread the cost of your treatment
Find out how you could manage the cost of your dental with 0% interest for up to 12 months.
monthly payments
monthly payments
•
0% interest available
•
Flexible repayment options
•
Low cost loans
•
Approved lending
We are happy to offer our patients 0% APR and low cost loan facilities for dental treatment such as dental implants, Invisalign and for other cosmetic dentistry treatments. Tarporley Dental Centre with it’s registered address at 13 Nantwich Road, Tarporley, Cheshire CW6 9UN. Tarporley Dental Centre is authorised and regulated by the Financial Conduct Authority and is entered on the Financial Services Register.
Explore our treatments
Spread your payments from 0% interest
Book your dental consultation today!
Our experienced dentists are ably supported by our dedicated team of nurses and receptionists most of whom have been at the practice for many years. They are all experienced in making patients feel welcome and at ease and are capable of dealing with any queries or concerns.















