Invisalign in Tarporley, Cheshire — straighten your teeth in as little as 6 months
Find your dream smile with Invisalign.
- Boost your confidence
 
- Achieve straighter teeth
 
- Removable aligners
 
- Nearly invisible braces
 
- No foods are off-limits
 
- Invest in your smile
 
Book your free consultation
Invisalign is a bold new approach to teeth straightening. If you’ve been put off straightening your teeth because of the appearance of traditional braces, there are alternatives available.
While traditional braces use brackets and wires to gently move your teeth into the optimal position, Invisalign uses clear plastic aligners. Patients wear the aligners for 20-22 hours per day and change them every week. Over the course of the treatment, the teeth are gradually moved into the correct position.
Can I still eat and drink with Invisalign ?
This innovative treatment option is popular with adults and teens alike. The clear plastic aligners are almost invisible to those around you, so you can wear them at school or at work without worrying about your appearance. They are also removable, so you can take them out to eat, drink and care for your teeth. No foods are off-limits for the course of your treatment. The only thing to note is that you can only drink cold, clear liquids while wearing your aligners.
Is Invisalign the right treatment for you?
Every Invisalign treatment journey is unique and is suitable for a wide range of aesthetic concerns. Straight teeth are not only aesthetically improved, but they are also functionally improved. Orthodontics can correct more than just crooked teeth or gaps. This treatment plan can also help to make your upper and lower jaw work together correctly, which can have a considerable impact on your wider health. Orthodontics is something to consider at any stage in life, particularly if you are unhappy with the way your smile looks.
Invisalign from £3300
FREE CONSULTATION, FREE WHITENING, 
ONE FREE RETAINER
At Tarporley Dental Centre we offer a FREE consultation with our Invisalign expert. In addition, you will receive Free Boutique teeth whitening and one FREE retainer with all Invisalign cases. Using an advanced scanner, you will see your perfect smile before treatment begins. 

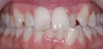
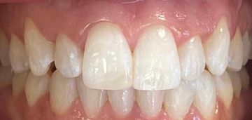
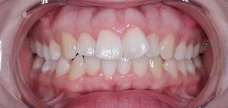
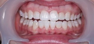
Success stories from the smile gallery
These patients all transformed their smiles using the Invisalign teeth straightening system.

Your treatment journey
Frequently asked questions
Invisalign is suitable for a wide range of issues, including misaligned teeth, rotations, gaps, overbite, underbite, crossbite and more. It is a common misconception that Invisalign can only treat simple cases. With attachments and precision wings, it is possible to treat more severe alignment issues.
You should be committed to wearing your aligners for 20-22 hours per day. If you do not wear the aligners, the treatment will not be able to progress. You might also find that the treatment is more painful, as your teeth won’t have time to get used to the adjustments before moving to the next aligner in the series.
The ideal candidate for Invisalign will have a treatable orthodontic case and have generally good oral health. If you have signs of gum disease, it would be a good idea to get this under control before you start orthodontic treatment.
You will have to remove your aligners to eat or drink anything other than water. This is because food and drink can damage the aligners and make them less effective. You cannot chew gum while wearing Invisalign as this will get stuck to the aligner. You can play sports while wearing Invisalign, but you may need to wear a custom gum shield for contact sports.
This all depends on your goals and your case. Invisalign treatment could take as little as 6 months to 18 months, depending on the current alignment of your teeth. If you forget to wear your aligners, treatment will take longer.
You may experience some discomfort as you get used to the treatment but this won’t last forever. In general, you might feel pressure on your teeth but you shouldn't be in pain. If you are in pain, this could be a sign that your aligners are rubbing against your lips or gums. You should be able to manage any discomfort with over the counter pain medication such as paracetamol.
The cost of Invisalign treatment in 2023
Understand the costs associated with Invisalign and how you make this treatment work for you. With our interest-free credit offer, you could spread the cost of your orthodontic treatment, ensuring you can access the dental care you want, without breaking your budget.
| Treatment | Prices from | 
|---|---|
| Invisalign | From £3,300 | 
| Vivera Retainers | £300 | 
Spread the cost of your treatment
Find out how you could manage the cost of your dental with 0% interest for up to 12 months.
monthly payments
monthly payments
•
0% interest available
•
Flexible repayment options
•
Low cost loans
•
Approved lending
We are happy to offer our patients 0% APR and low cost loan facilities for dental treatment such as dental implants, Invisalign and for other cosmetic dentistry treatments. Tarporley Dental Centre with it’s registered address at 13 Nantwich Road, Tarporley, Cheshire CW6 9UN. Tarporley Dental Centre is authorised and regulated by the Financial Conduct Authority and is entered on the Financial Services Register.
Explore our treatments
Spread your payments from 0% interest
Book your dental consultation today!
Our experienced dentists are ably supported by our dedicated team of nurses and receptionists most of whom have been at the practice for many years. They are all experienced in making patients feel welcome and at ease and are capable of dealing with any queries or concerns.







